近日,我院率先引进国际先进、国产顶尖的华科SINO X-1000神经外科手术机器人,现已全面投入临床使用。该设备代表了中国智造的顶尖水平,以毫米级操作精度、智能化手术规划与卓越的稳定性,成为医生的“超级智能助手”,为众多患者带来新的治疗希望。此次引进标志着我院神经外科正式步入“机器人智能精准诊疗新时代”。
华科SINO X-1000
神经外科手术机器人核心优势
华科SINO X-1000是一款集高精度多模态影像融合、智能手术规划、亚毫米级机械臂定位和术中实时导航于一体的高端医疗装备。它既有“火眼金睛”,又有“超稳之手”,能够将医生的精湛技艺与科技的精准稳定充分结合,极大地扩展了手术的能力边界。

四合一全能技术
集脑外科机器人定位、脑外科实时导航、脊柱外科机器人定位、脊柱实时导航于一体,真正实现 “一机多能”。
3D 结构光注册技术
通过三百万点云全息面部扫描,2分钟即可完成无创注册,定位精度达0.5毫米级,较传统技术提升300倍。
顶级光学追踪系统
搭载了 NDI Polaris Vega 顶级光学追踪系统,能实时追踪手术器械位置,精准避开血管神经密集区。
智能分割功能
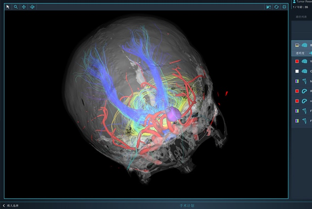
导入病人医学影像后,影像工作站和先进的算法可自动完成病人大脑感觉区、运动区、认知区等功能区域以及小脑、脑干等解剖结构的智能分割和三维重建,让手术更安全。
体位动态追踪技术
通过全自动定位机械臂以及精细的触觉反馈技术,结合可视化导航追踪功能,支持患者体位动态追踪技术,可通过视觉定位追踪患者体位变化,并将位置信息同步机器人坐标实现机械臂随动定位功能,让脊柱手术实时、微创、精准。
神经外科手术机器人
适用于哪些病种
神经外科手术机器人的应用范围覆盖了神经外科绝大多数高难度、高风险手术领域,其主要适用病种包括:
01 .脑肿瘤精准切除
适用病种:颅内深部小型肿瘤、胶质瘤、淋巴瘤、转移瘤等,尤其是位于语言、运动、视觉等关键功能区或毗邻重要血管神经的肿瘤。
技术优势:机器人可根据影像提前规划出“最优安全路径”,引导机械臂精准抵达病灶,避免损伤重要神经功能区,实现最大程度的安全切除或精准取样,为后续治疗提供关键依据。

02 .脑出血微创治疗
适用病种:高血压性脑出血、脑室出血、自发性的颅内血肿等。
技术优势:传统手术定位困难,创伤大。机器人可精准计算血肿三维形态与最佳穿刺点,一次性建立精准工作通道,进行血肿引流或碎吸,手术创伤极小,恢复快,极大降低了致残率和死亡率。


03 .功能神经外科疾病(DBS/SEEG)
适用病种:帕金森病、特发性震颤、肌张力障碍、药物难治性癫痫、精神外科疾病等。
技术优势:这是机器人技术的“王牌领域”。植入脑深部电刺激(DBS)电极或颅内深部电极(SEEG)时,对植入靶点的精度要求极高(误差需小于1毫米)。机器人能实现传统手术无法达到的植入精度,确保神经调控疗法的最佳效果,为癫痫灶的精准定位提供了金标准。


04 .脑立体定向活检
适用病种:疑难脑病变的病理诊断、深部小型肿瘤或癫痫灶的消融。
技术优势:机器人引导下的活检,成功率更高,风险更低。结合LITT技术,可通过一根细小的激光光纤,对深部病灶进行精准高温灭活,避免了开颅手术,是真正的“超微创”治疗。


05 .颅脑修复与功能重建
适用病种:颅骨缺损修补术、三叉神经痛/面肌痉挛微血管减压术(MVD)等手术的精准定位规划。
技术优势:在颅骨修补术中,可精准预成型修补材料,完美匹配骨窗。在MVD手术中,可辅助规划最微小的骨窗位置,精准找到责任血管,提升手术效率与安全性。


06 .儿童神经系统疾病
适用病种:儿童脑肿瘤、先天性脑积水、小儿癫痫等。
技术优势:儿童脑组织娇嫩,结构更小,对精准度的要求极高。机器人的应用能最大程度保护儿童正在发育的脑功能,手术效果更佳。


神经外科手术机器人的引进,是我院秉持‘以患者为中心’理念、持续推动技术创新的重要里程碑。它不仅是一台高精尖的手术设备,更是一个强大的智能平台,能够赋能医疗团队实现个体化、精准化的治疗方案,为每一位患者带来更安全、更高效的手术体验。